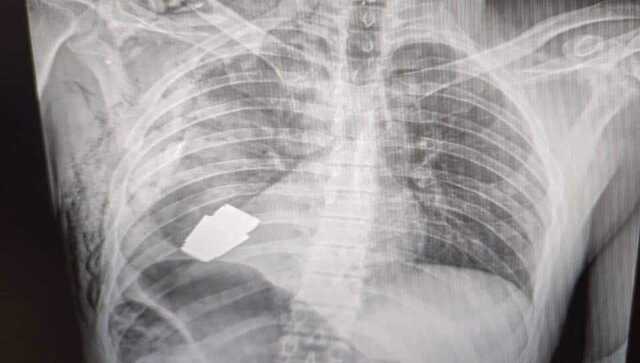
New Delhi: A Ukrainian soldier got a new lease of life when an unexploded VOG grenade was surgically removed from his Chest, just under his heart. Ukrainian army surgeons undertook the risky operation to the remove the still explosive grenade from the soldier body, with the help of two soldiers who looked over their safety. “Our military doctors conducted an operation to remove a VOG grenade, which did not break, from the body of a soldier.The operation lasted in the presence of two sappers who supervised the safety of the medical staff and the patient”, the General Staff of Ukrainian Armed Forces of Ukraine wrote on Facebook. Since the explosive was live and there were chances of an explosion, the doctors operated the soldier without electrocoagulation, a procedure that uses electric current to stop blood flow during the surgery. How did the grenade get into soldier’s chest? The Ukrainian military has not said anything about how the grenade got into the soldier’s chest. However, according to a New York Post report, the grenade was shot into the chest with a launcher. The VOG grenade is fired from an underbarrel launcher – small grenade launcher mounted just under the barrel of an assault rifle. These grenades explode when they hit something hard, but since it could pierce through the soldiers chest it didn’t explode and remained live, just underneath his heart, till it was very carefully removed. Read all the Latest News , Trending News , Cricket News , Bollywood News , India News and Entertainment News here. Follow us on Facebook, Twitter and Instagram.
Since the explosive was live and there were chances of an explosion, the doctors operated the soldier without electrocoagulation, a procedure that uses electric current to stop blood flow during the surgery
Advertisement
End of Article


)

)
)
)
)
)
)
)
)
