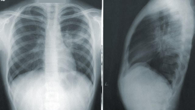
Every year, World Pneumonia Day is marked on 12 November to raise awareness about the deadly respiratory infection. According to United Nations Children’s Fund (UNICEF), a child dies from the disease every 39 seconds. About 8,00,000 children below the age of five years die due to pneumonia annually. Adults over the age of 65 years are also more at risk of contracting the disease. The disease can be caused due to a variety of reasons such as asthma, heart disease, smoking, frequent hospitalisations, using a ventilator, weakened immune system, and so on. People who are recovering from surgical procedures which required anesthesia or have medical issues affecting their gag reflex are also at risk of pneumonia. However, there are some measures you can take to mitigate your risk of contracting the disease . This World Pneumonia Day, here’s a look at some ways to prevent contracting this deadly disease:
- Wash your hands frequently in warm, soapy water or just an alcohol-based hand sanitizer
- Eat a healthy diet with lots of vegetables, fruits, lean protein, and fibre
- Avoid smoking as well excessive consumption of alcohol
- Keep babies and children away from people who are suffering from the flu to manage their chances of contracting the disease
- Keep your children’s noses clean and teach them to sneeze and cough into their elbow to minimise the risk of spreading germs to others
- People at greater risk of contracting pneumonia can also avail the pneumococcal vaccine against lung infection
In case you are recovering from a surgery, you can follow these measures to prevent contracting post-operative pneumonia:
- Keep your head in an elevated position while you are resting
- Maintain oral hygiene and keep your hands clean as well
- Practice coughing and deep breathing exercises
If you are suffering from a cold, and are concerned that it might develop into pneumonia, you can follow these steps to ensure that it doesn’t:
- Keep your body hydrated
- Take supplements like Vitamin C to build up your body’s immune system
- Use a humidifier and ensure that you get lots of rest
)