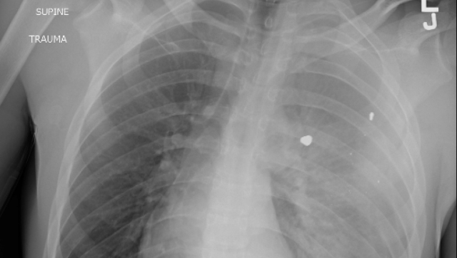
A doctor in US working in an emergency has issued a concerning alert about the primary reason for fatalities among youngsters and adolescents in the United States. Dr. Sam Ghali recently posted an X-ray image on X (previously known as Twitter) depicting the chest of a young boy afflicted by a condition that has now claimed the position of being the chief cause of demise for kids and teenagers in the US. Dr. Ghali posed a question to his followers: “Can you determine the diagnosis?” The image exposes the child’s chest, revealing what seems to be foreign objects lodged within the lungs. “Any guesses? Prayers? To give you a hint, it’s not the FLU, RSV, or COVID,” supplemented Dr. Ghali.
Many of the responses accurately guessed that the image portrayed a gunshot wound. A recent analysis of data from the US Centers for Disease Control (CDC), which was published last week, reiterated that gunshots persist as the predominant cause of death for children in the US during 2021. This research, unveiled in the journal of the American Academy of Pediatrics, brought to light that 4,752 youngsters and adolescents (spanning from newborns to 19-year-olds) lost their lives due to gunshot injuries in 2021. Among these cases, approximately 64% were classified as homicides, nearly 30% as suicides, and 3.5% stemmed from “unintentional injury”. These statistics signify a notable surge of 41.5% in the rate of firearm-related deaths in the pediatric population from 2018 to 2021. “The significant rise in firearm-related deaths among children in 2020 garnered widespread attention, with many speculating that the increase could be attributed to the onset of the 2019 coronavirus disease pandemic and the exacerbation of underlying causes,” elucidated the authors. “Remarkably, even though the initial pandemic-induced fears and anxieties have subsided, firearm-related fatalities continued to hold their position as the foremost cause of death for children and adolescents in 2021.” Up to this point in the current year, data amassed by the Gun Violence Archive indicates that no fewer than 1,187 children and teenagers (ranging from newborns to 17-year-olds) have fallen victim to shootings.
)