Over five decades have
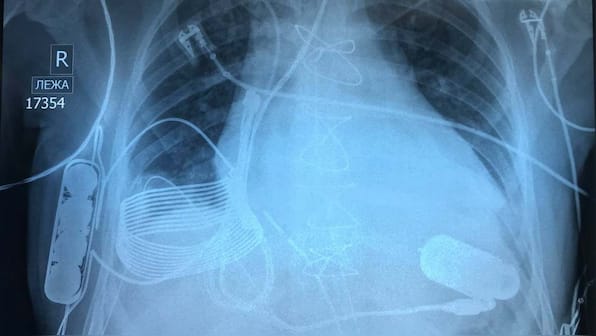
gone by since the first mechanical heart pump — the ventricular assist device — was implanted into a patient whose heart couldn’t pump on its own. Countless lives have been saved by the device since then. One of those patients is a 24-year-old man, Ismail Turnsunov, who was implanted with a heart pump a few weeks ago after being rushed into the hospital with end-stage heart failure. What makes this implant unique is how the device charges up. It requires no wires or charging ports to be connected directly, and can be charged wirelessly. With this feature alone, the device eliminates one of the biggest drawbacks of VADs, which mean an instant heart attack if it fails a patient. [caption id=“attachment_6077901” align=“alignnone” width=“1280”] The three-part bionic heart implant in an X-ray. Image credit: Facebook/Leviticus Cardio[/caption] Usually, a VAD needs to be plugged into a power outlet or an external battery via a hole in the patient’s abdomen. It is absolutely necessary for all patients fitted with a heart pump to carry an extra pair of batteries in case one runs out of power. Another major drawback is the exposed hole through which the power cord runs out of the body — an unsafe, risky gateway for infections. Patients have to alert and be attentive to every little symptom to run to a specialist at the drop of a hat. But Turnsunov’s implant doesn’t require a power cord at all. It uses a wireless charging system built by Israeli technology company Leviticus Cardio.
The instrument has an inductive coil, battery, and an internal controller, which are all implanted into Turnsunov’s chest. The device can stay powered for roughly eight hours from a single charge. When it needs to be recharged, Turnsunov has to put on a vest which has a built-in external device and coil to charge the inner coil using an electromagnetic field. The device comes with a wrist monitor for Turnsunov to track his VAD and battery. In case something in the wireless charging system fails, there currently isn’t a back-up wired option. However, the patient hasn’t needed to use it since his surgery several weeks ago.


)
)
)
)
)
)
)
)
)
