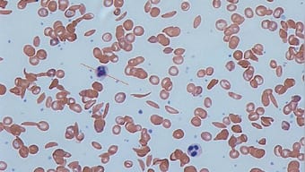
World Sickle Cell Day was first organised by the United Nation General Assembly in the year 2008 to recognise sickle cell disease as a public health problem. After that, the UN designated 19 June to be observed as World Sickle Cell Awareness Day globally. Sickle Cell Disease is commonly seen in people living in Africa, South America, the Caribbean, Central America, Kingdom of Saudi Arabia, India, and Mediterranean countries such as Turkey, Greece and Italy. According to the World Health Organisation, each year over 3 lakh babies are born with severe forms of haemoglobin diseases including thalassemia and sickle cell disease. Around 5 percent of the world’s population is a healthy carrier of sickle-cell disease. [caption id=“attachment_8498841” align=“alignnone” width=“640”]
Sickle-shaped cells and normal blood cells in human blood. Image courtesy: Wikimedia Commons/Dr Graham Beards[/caption] What is sickle cell disease? Sickle cell disease is a blood disorder which affects the red blood cells (RBCs) of the body and is inherited from the parents. Generally, red blood cells contain haemoglobin in them, but in people with sickle cell disease, their red blood cells contain mostly haemoglobin S which is an abnormal type of haemoglobin. This makes the red blood cells change their shape and become sickle-shaped (crescent-shaped). Since these sickle-shaped RBCs fail to pass through small blood vessels, extremely less blood reaches those parts of the body. When any tissue in the body does not receive normal blood flow, they become damaged. Can a person with sickle-shaped blood cells be unaware of their disease? A person with sickle cell disease would exhibit the symptoms, however, a person with sickle cell trait would not show any symptoms. Sickle cell trait is a condition where the person has inherited a sickle cell gene from one of their parents, but do not get the disease. They live a healthy life, but if they have a partner with a similar sickle cell trait, it is possible for their child to have sickle cell disease. What are the symptoms of sickle cell disease? The symptoms of sickle cell disease would start showing up from around five to six months of age. Some of the common signs and symptoms would include frequent episodes of pain and bacterial infections in the body, swelling of hands and feet, anaemia, vision problems, bone damage and delayed puberty. Are there different types of sickle cell disease? There are four types of sickle cell diseases, which are:
- Sickle cell anaemia
- Sickle hemoglobin-C disease
- Sickle beta-plus thalassemia
- Sickle beta-zero thalassemia
How is sickle cell disease treated? With early diagnosis and proper medical care, sickle cell disease can be managed. Some vaccinations are needed to be given to the child immediately after birth, which includes penicillin prophylaxis and vaccination for pneumococcus bacteria along with folic acid supplementation. The person may require lifelong medical care as the treatment of sickle cell disease includes antibiotics, intravenous fluid administration, regular blood transfusions and sometimes surgery. For more information, read our article on Sickle Cell Disease . Health articles in Firstpost are written by myUpchar.com, India’s first and biggest resource for verified medical information. At myUpchar, researchers and journalists work with doctors to bring you information on all things health.
)