World Pneumonia Day was first observed in 2009 to raise awareness about and advocate for global action against the acute respiratory disease which claims millions of lives every year. The theme for World Pneumonia Day 2020 is “Every Breath Counts” which is apt given the added focus on the disease this year due to the COVID-19 pandemic. Impact of COVID-19 on pneumonia mortality According to statistics provided by Stop Pneumonia, a non-profit organisation, pneumonia claimed the lives of 2.5 million people in 2019, including 672,000 children. An editorial recently published in the American Journal of Physiology in early November 2020 suggests that the COVID-19 infection and pandemic is estimated to claim 1.9 million lives by 31 December 2020 and if all these deaths are categorized as lower respiratory infections by the Global Burden of Disease then it will increase the all-cause pneumonia mortality rate of 2020 by 70 percent. This, the article suggests, will bring the annual death toll due to pneumonia to a whopping 4.5 million. No other infection causes this immense a burden of death and that too globally. The impact of COVID-19 on how pneumonia is viewed, diagnosed, treated and prevented has been huge. How COVID-19 is linked to pneumonia Since the beginning of the pandemic, studies have shown that pneumonia is a complication of severe COVID-19. Pneumonia not only causes inflammation in either or both lungs but also leads to the build-up of mucus or fluid in them. This makes breathing even more difficult and worsens the disease further. Worsening of pneumonia can lead to acute respiratory distress syndrome (ARDS), which is a potentially fatal condition as it causes pulmonary fibrosis or the scarring of lung tissue. Further studies into COVID-19 associated pneumonia revealed that critically-ill COVID-19 patients who need oxygen support through ventilation are at an added risk of developing pneumonia. A study published in Science Translational Medicine suggests that when critically-ill COVID-19 patients are given high-flow oxygen from mechanical ventilation, it promotes the growth of bacteria like Staphylococcus aureus. The growth of such microbes in the lungs not only causes pneumonia but also leads to lung abscesses and injuries – the effect of which can last for a long time, making recovery all the more strenuous. What needs to change for pneumonia elimination As the aforementioned editorial indicates, the COVID-19 pandemic has revealed just how unprepared the global healthcare systems are — especially in low- and middle-income countries like India — to deal with wide-scale, rapidly escalating outbreaks of viral pneumonia as witnessed during the pandemic. From the lack of enough ventilators to the scarcity of pulse oximeters, the infrastructural deficiencies in dealing with pneumonia shed much-needed light on what is actually required to better deal with and eliminate pneumonia. Better investment in respiratory healthcare, whether it’s for equipment or grassroots awareness campaigns, is definitely the biggest need of the hour. Different types of pneumococcal conjugate vaccines (PCV) that can at least prevent bacterial pneumonia if not the viral ones are available across the world. Vaccination drives that ensure all children get vaccinated every year can reduce pneumonia cases to a great degree. It must also be noted that there is still no rapid diagnostic test for pneumonia and research-oriented towards the development of such tests would also prove to be of great value. Eliminating the risk factors of pneumonia is definitely another effective way of ultimately eliminating pneumonia, though this may be more challenging than other avenues to reduce pneumonia-related morbidity and mortality. According to the Global Burden of Disease, wasting or malnutrition and air pollution are two key risk factors for pneumonia, and eliminating such risks would require identifying at-risk populations, educating communities, equipping health facilities with pulse oximetry and oxygen support, and training medical staff to care for pneumonia patients better. All of this indicates that there is a lot to do before pneumonia caseload and mortality rates can even be controlled globally, let alone the total elimination of this deadly infection. So, while the COVID-19 pandemic has brought pneumonia into the spotlight, community leaders, state- and national-level policymakers and the global community of healthcare professionals and researchers need to join hands to make a difference. For more information, read our article on Pneumonia. Health articles in Firstpost are written by myUpchar.com, India’s first and biggest resource for verified medical information. At myUpchar, researchers and journalists work with doctors to bring you information on all things health.
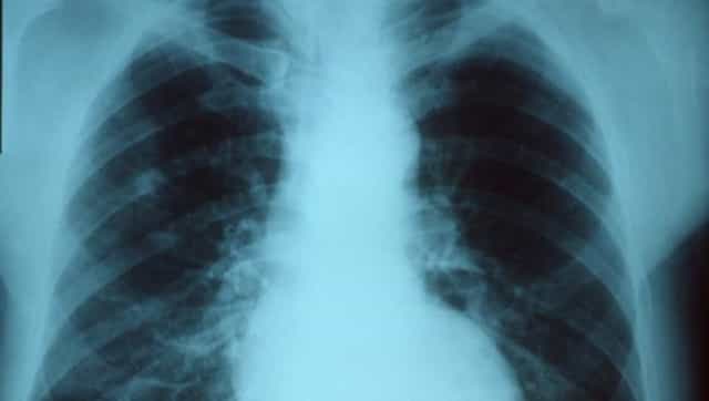
Pneumonia not only causes inflammation in either or both lungs but also leads to the build-up of mucus or fluid in them.
Advertisement
End of Article


)

)
)
)
)
)
)
)
)
