Firstpost
  • Home
  • Video Shows
    Vantage Firstpost America Firstpost Africa First Sports
  • World
    US News
  • Explainers
  • News
    India Opinion Cricket Tech Entertainment Sports Health Photostories
  • Asia Cup 2025
Apple Incorporated Modi ji Justin Trudeau Trending

Sections

  • Home
  • Live TV
  • Videos
  • Shows
  • World
  • India
  • Explainers
  • Opinion
  • Sports
  • Cricket
  • Health
  • Tech/Auto
  • Entertainment
  • Web Stories
  • Business
  • Impact Shorts

Shows

  • Vantage
  • Firstpost America
  • Firstpost Africa
  • First Sports
  • Fast and Factual
  • Between The Lines
  • Flashback
  • Live TV

Events

  • Raisina Dialogue
  • Independence Day
  • Champions Trophy
  • Delhi Elections 2025
  • Budget 2025
  • US Elections 2024
  • Firstpost Defence Summit
Trending:
  • Charlie Kirk shot dead
  • Nepal protests
  • Russia-Poland tension
  • Israeli strikes in Qatar
  • Larry Ellison
  • Apple event
  • Sunjay Kapur inheritance row
fp-logo
IIT professor developed a software that detects Coronavirus in five seconds by using the patient's X-ray scan
Whatsapp Facebook Twitter
Whatsapp Facebook Twitter
Apple Incorporated Modi ji Justin Trudeau Trending

Sections

  • Home
  • Live TV
  • Videos
  • Shows
  • World
  • India
  • Explainers
  • Opinion
  • Sports
  • Cricket
  • Health
  • Tech/Auto
  • Entertainment
  • Web Stories
  • Business
  • Impact Shorts

Shows

  • Vantage
  • Firstpost America
  • Firstpost Africa
  • First Sports
  • Fast and Factual
  • Between The Lines
  • Flashback
  • Live TV

Events

  • Raisina Dialogue
  • Independence Day
  • Champions Trophy
  • Delhi Elections 2025
  • Budget 2025
  • US Elections 2024
  • Firstpost Defence Summit
  • Home
  • India
  • IIT professor developed a software that detects Coronavirus in five seconds by using the patient's X-ray scan

IIT professor developed a software that detects Coronavirus in five seconds by using the patient's X-ray scan

Press Trust of India • April 24, 2020, 16:54:08 IST
Whatsapp Facebook Twitter

He has filed a patent for the software and has approached the Indian Council of Medical Research for a review.

Advertisement
Subscribe Join Us
Add as a preferred source on Google
Prefer
Firstpost
On
Google
IIT professor developed a software that detects Coronavirus in five seconds by using the patient's X-ray scan

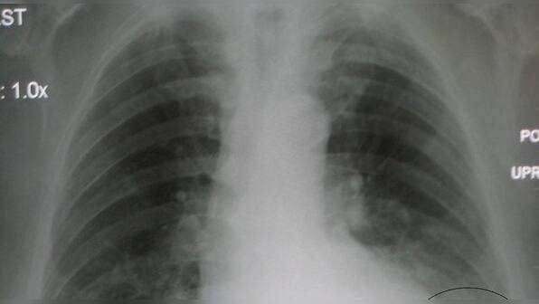
An IIT-Roorkee professor claims to have developed a software which can detect COVID-19 within five seconds using an X-ray scan of the suspected patient. The professor, who took over 40 days to develop the software, has filed a patent for the same and has approached the Indian Council of Medical Research (ICMR) for a review. Kamal Jain, a professor at the institute’s civil engineering department, claims that the software will not only reduce testing costs but will also reduce the risk of exposure to healthcare professionals. So far, there is no verification of his claim by a medical institution. [caption id=“attachment_8296261” align=“alignnone” width=“1280”]The pneumonia caused by COVID-19 is very severe and it affects the lungs completely. Image credit: Wikipedia The pneumonia caused by COVID-19 is very severe and it affects the lungs completely. Image credit: Wikipedia[/caption] “I first developed an artificial intelligence-based database after analysing over 60,000 X-ray scans, including those of COVID-19, pneumonia and tuberculosis patients to differentiate between the kind of chest congestion suffered in the three diseases. I also analysed the chest x-ray database of the United States’ NIH Clinical Center,” Jain told PTI. “Using the software developed by me, the doctors can simply upload pictures of an individual’s X-ray. The software will not only classify whether the patient has any sign of pneumonia, it will be able to tell whether it is due to COVID-19 or other bacteria and also measure the severity of the infection. The results can be processed within five seconds” he added. Jain said the software can help in accurate preliminary screening which can be supplemented by clinical testing for those tested positive for the deadly virus. “The pneumonia caused by COVID-19 is severe than other bacteria as it affects the lungs completely than smaller portions of lungs in other cases. The software will analyse bilateral opacity, pattern of fluid build-up in lungs and nature of clump or clot if any,” the professor said. “Similar kinds of experiments are being conducted by the University of Amazon in the United States but there has not been a breakthrough yet,” he claimed. According to the Union Health Ministry, the death toll due to COVID-19 rose to 718 and the number of cases to 23,077 in the country on Friday. The number of active COVID-19 cases is 17,610 as 4,748 people have been cured and discharged, and one patient migrated, it said. The ICMR said a total 23,502 samples have been confirmed positive for coronavirus so far.

Tags
artificial intelligence pneumonia lungs x ray AI ICMR coronavirus COVID 19 coronavirus testing Health India Positive x ray scan
End of Article
Latest News
Find us on YouTube
Subscribe
End of Article

Impact Shorts

News18 SheShakti 2025: Voices of cinema, sport and music redefine nation-building

News18 SheShakti 2025: Voices of cinema, sport and music redefine nation-building

At News18 SheShakti 2025 Delhi, women from sports, cinema, and music discussed breaking barriers. Kriti Sanon and Sanya Malhotra focused on equity in cinema, Mira Erda and Ashalata Devi on sports challenges, and Kavita Krishnamurti stressed humility and perseverance for lasting success.

More Impact Shorts

Top Stories

Charlie Kirk, shot dead in Utah, once said gun deaths are 'worth it' to save Second Amendment

Charlie Kirk, shot dead in Utah, once said gun deaths are 'worth it' to save Second Amendment

From governance to tourism, how Gen-Z protests have damaged Nepal

From governance to tourism, how Gen-Z protests have damaged Nepal

Did Russia deliberately send drones into Poland’s airspace?

Did Russia deliberately send drones into Poland’s airspace?

Netanyahu ‘killed any hope’ for Israeli hostages: Qatar PM after Doha strike

Netanyahu ‘killed any hope’ for Israeli hostages: Qatar PM after Doha strike

Charlie Kirk, shot dead in Utah, once said gun deaths are 'worth it' to save Second Amendment

Charlie Kirk, shot dead in Utah, once said gun deaths are 'worth it' to save Second Amendment

From governance to tourism, how Gen-Z protests have damaged Nepal

From governance to tourism, how Gen-Z protests have damaged Nepal

Did Russia deliberately send drones into Poland’s airspace?

Did Russia deliberately send drones into Poland’s airspace?

Netanyahu ‘killed any hope’ for Israeli hostages: Qatar PM after Doha strike

Netanyahu ‘killed any hope’ for Israeli hostages: Qatar PM after Doha strike

Top Shows

Vantage Firstpost America Firstpost Africa First Sports
Latest News About Firstpost
Most Searched Categories
  • Web Stories
  • World
  • India
  • Explainers
  • Opinion
  • Sports
  • Cricket
  • Tech/Auto
  • Entertainment
  • IPL 2025
NETWORK18 SITES
  • News18
  • Money Control
  • CNBC TV18
  • Forbes India
  • Advertise with us
  • Sitemap
Firstpost Logo

is on YouTube

Subscribe Now

Copyright @ 2024. Firstpost - All Rights Reserved

About Us Contact Us Privacy Policy Cookie Policy Terms Of Use
Home Video Shorts Live TV